Home/ Services/ Root Canal Treatment

A root canal is how we save the tooth, not lose it.

The reputation is worse than the reality. When a tooth can be saved, this is how.

Same-day emergencies

Dr. Nishant's root canal & crown work

One patient. Severe decay. Every tooth saved — root canals, crown lengthening, and crowns.

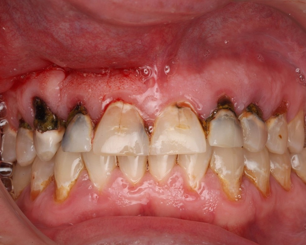
Pre-op intraoral view — multiple teeth with severe decay and inflamed gums. Before
Post-op intraoral view — teeth fully restored. After
Pre-op view with cheek retractor — severe decay across multiple teeth. Before
Post-op close-up — full smile restored. After

And some snapshots from the work.

Saving a tooth from the inside out.

Remove the infection. Seal the tooth. Cap with a crown. Your real tooth, saved for decades.

When the tooth is asking for help

Any of these — especially in combination — call us soon.

Throbbing toothache — worse at night.
Sharp pain when biting down.
Lingering hot or cold sensitivity.
A tooth that's darkened.
Swelling or a "pimple" on the gum.
Deep cavity or fracture, now hurting.

Why a root canal here is different from what you remember

01

Same-Day Emergency Slots

In pain? We make room today. Relief first.

02

Painless, Or We Stop

If you feel anything, we numb more. No exceptions.

03

3D Imaging Confirms It

CBCT shows every canal. No surprises mid-procedure.

04

Honest About the Alternative

If the tooth can't be saved, we say so up front.

From toothache to quiet relief

One or two visits. Pain usually gone within hours.

01

Same-Day Diagnosis

Quick exam. 3D scan. Honest options.

02

Local Anesthesia

Fully numb. We test before we start. Anything sharp — we add more.

03

Clean & Seal the Canals

Infected pulp out. Canals cleaned and sealed.

04

Temporary, Then Crown

Temporary filling now. Custom porcelain crown within weeks.

You might also be looking at…

In pain right now?

Call us. We'll make room.

Same-day emergency slots. The sooner you call, the sooner you're comfortable.