Home/ Services/ Dental Implants

Dental implants that look, feel, and last like the real thing.

Single tooth or full arch. Planned, placed, and restored — all in one chair.

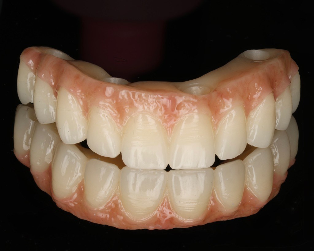
Dr. Nishant's full-mouth implant work — some of many.

A small look at the cases he's restored in-house — full-arch implants, planned and finished under one roof.

Before full implant treatment. Before
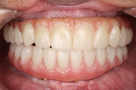
After full implant restoration — full smile restored. After
Before full implant treatment — discolored, worn teeth. Before
After full implant restoration — full smile restored. After

And some snapshots from his work.

A new tooth, built from the root up.

A titanium root. A porcelain crown. A tooth that looks, eats, and lasts like the real one.

Signs an implant might be the right call

If any of these sound familiar, it's worth a conversation.

One or more missing teeth.
A bridge or denture that slips.
Tired of avoiding hard food.
A tooth that can't be saved.
Don't want to grind down healthy teeth.
Face changing where teeth are missing.

Why patients across Schuylkill County choose us for implants

01

One Roof, One Team

Surgery and final crown. Same office, same team.

02

Fully Digital Planning

3D-mapped before we touch the chair.

03

Same-Day Temporary Teeth

You leave with a tooth, never a gap.

04

Clear Plan, Honest Talk

Every option laid out. No surprises.

From first visit to final smile

Most of the journey happens quietly, while you live your life.

01

Implant Consultation

30 minutes. 3D scan. No commitment.

02

Digital Planning

Mapped in software — angled to your bone, around every nerve.

03

Implant Placement

Placed precisely to your digital plan — angled to your bone, comfortable from start to finish.

04

Healing & Same-Day Temporary

Same-day 3D-printed tooth. 3–4 months to fully integrate.

05

Final Crown or Bridge

Custom porcelain. Color-matched. Done.

You might also be looking at…

Ready to talk about implants?

A 30-minute consult, an honest plan.

30 minutes. A 3D scan. An honest plan. No pressure.