Home/ Services/ Porcelain Veneers

The polish you've been wanting — quiet, custom, undeniably you.

Hand-crafted porcelain. Calibrated to your face. You, on a really good day.

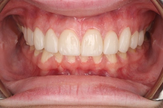
Dr. Nishant's veneer work

A custom porcelain shell, bonded to your tooth.

Thin as a contact lens. Bonded to your tooth. Doesn't stain, doesn't yellow, doesn't age.

Veneers quietly fix

When whitening isn't enough, but the teeth underneath are still healthy.

Stains whitening can't lift.
Chipped or worn front teeth.
Small gaps to close.
Slightly uneven teeth — when aligners feel like overkill.
Teeth worn down from grinding.
Old composite bonding that's stained.

Why our veneer cases look like teeth, not Chiclets

01

No prep to Conservative Prep

— only what's necessary.

02

Smile Preview First

Mock-up in your mouth before any drilling. Tune shape, length, shade.

03

Master Ceramist, Hand-Painted

No mass-production labs. Every veneer painted to your face.

04

Calibrated to Your Face

Subtle asymmetry. Looks like teeth, not Chiclets.

From first conversation to final reveal

Two visits, 2–3 weeks apart. Temporaries in between — you're never without teeth.

01

Consultation & Smile Preview

30–45 minutes. Photos. Digital scan. Mock-up in your mouth.

02

Tooth Prep & Scans

no prep to very minimal enamel prep. Digital scan to the ceramist with shade notes.

03

Custom Temporaries

You leave looking great while your finals are crafted.

04

Bond the Finals

Try in. Refine. Bond. About 2 hours. You leave with the smile.

You might also be looking at…

Ready to talk about veneers?

A consult, a smile preview.

A conversation. A mock-up in your mouth. Same visit.